MobilityWorks
Accessibility for all: Helping people connect with who and what matters most
Searching...
No results found. Please try modifying your search.
This incredible man is so much MORE than his diagnosis. Born and raised in Philadelphia, P.A. and grew up in Northern Liberty/Kensington/Fishtown. He attended Penn Treaty and later Edison High School. During his youth he could also be found playing basketball or softball at Hancock Playground. He was 27 when I was born, his only child, and later relocated to Florida to take sole custody of me when I was 12. In his spare time, he always remained active, playing basketball, taking classes in Toastmasters for public speaking and loved being at the beach. As an adult, he pursued a career in Ecolab in which he worked in several divisions. Once I was raised, he decided to transfer back to Philadelphia, PA later retiring in 2018 after almost 30 years.
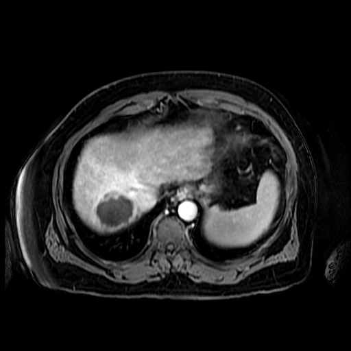
His intention for retirement was to decompress, spend time with his beautiful wife, Lorraine, his children and grandchildren. However, during a routine exam, an MRI was ordered in November 2022 which revealed he had a tumor measuring 5.1 cm in size. Another MRI in February 2023 found it had grown to 5.6 cm! We were informed by his medical team at Jefferson Health that Radioembolization (Y90) would be the next course of action and it was scheduled for March 2nd, 2023. This procedure was expected to decrease the size of the tumor up to 70%. The radiation was taxing on my Dad, and he struggled with many adverse effects during the following months. On April 20th another MRI with contrast was performed and found the tumor had not shown the shrinkage we had hoped for. The next step is a follow up MRI on June 20th.
Transplants are life-saving but financially draining. Even with health insurance, which will cover part of the transplant cost, Patrick will face significant expenses related to the surgery and aftercare related to the surgery. Included in the extra expenses will be anti-rejection medications and follow-up medical care for life. Post transplant medications are expensive, as much as $3000 per month, and will be as critical to his survival as the transplant itself.
Patrick is a loving husband, father of 1 daughter, 4 stepchildren and 6 grandchildren. He is one of the hardest workers we know and has always been able to support us in any way that he can. Even through his current condition, he is still there to motivate us, make us laugh and give his “words of wisdom”. His family has always been his main priority and we now want him to know that he is ours too, especially during this difficult time. He has a lot to fight for—and he vowed he doesn’t plan to give up.
Unlike a GoFundMe campaign, donations to Help Hope Live are tax deductible to the extent allowed by law, and all funds raised will be managed by the nonprofit to cover verified medical and related expenses. Help Hope Live verifies medical and financial need for every patient.
Thank you for your kind consideration and support.
To make a tax-deductible donation to this fundraising campaign, click on the Give button
For more information, please contact Help Hope Live at 800.642.8399.
Thank you for your support!
What an incredible announcement I have. My dad was blessed with the liver he needed to SAVE HIS LIFE. He received the call after 11p on Saturday night and thankfully his best friend David was with him to get him packed and rushed him to the hospital. They prepped him for surgery which began at 9:30a and ended shortly after 3p. My heart goes out to the donors family and friends their courageous gift changed my life. THANK YOU to everyone who prayed for my dad, sent a donation or shared any of my posts. Your support is what got us through it all. Shortly after my 1st time speaking with my dad a friend sent this scripture that I wanted to share:Philippians 4:6-7
6 Don’t worry about anything; instead, pray about everything. Tell God what you need, and thank him for all he has done. 7 Then you will experience God’s peace, which is greater than anything we can understand. His peace will guard your hearts and minds as you live in Christ Jesus
Loading Images
Gail
I am so sorry about your Dad. Have added him to my nightly prayer. Much love. Janet
Janet Blackmore
The Fishers are thinking of you and sending a prayer your way!
Anonymous
We love you Patrick (aka Pop-pop poppy)! Let’s kick this cancer’s butt!
Anonymous
❤️
Ana Fernandez
I am keeping you all in thoughts and prayers, and sending positive healing vibes.
Debbie Booz
Sending lots of prayers and good wishes!
Michael and Donna Conway
Blessing for your amazing dad. We love you gail ❤️
Karma Beauty
Keeping good thoughts and lots of prayers
Jessica Bilynsky
All Our Love Always Billy and Cindy
Cynthia Conway
Sending love to Uncle Pat
Amy Conway
Get well, brother
Mike Conway
Your daughter is an amazing person!
Alex Barthet
Love you Uncle Pat!
Julianne Conway
Make checks payable to:
Help Hope Live
Note in memo:
In honor of Patrick Conway
Mail to:
Help Hope Live
2 Radnor Corporate Center
Suite 100
100 Matsonford Road
Radnor, PA 19087
Donor preference is important to us. Please specify in writing if you wish for your name or donation amount to be kept private.
Subscribe to this campaign to receive updates.
Accessibility for all: Helping people connect with who and what matters most
Building leading-edge mobility products
One of the largest mobility dealers in the U.S.
Consult with specially-trained pharmacists, get your medications for pickup or delivery and more
All news, and all that matters to you
Your first step to optimized communications
The event for the disability community
Born to connect, empower and inspire the rare disease community.
A mobility dealer for wheelchair accessible vehicles and adaptive equipment